• admin 2026-01-17
    吃瓜温柔男星,揭秘娱乐圈吃瓜男星的甜蜜魅力

    吃瓜温柔男星,揭秘娱乐圈吃瓜男星的甜蜜魅力

    你知道吗?娱乐圈里最近有个吃瓜温柔男星,简直让人爱到不行!他不仅颜值高,演技棒,而且吃瓜的样子也是萌萌哒,让人忍不住想跟着他一起“瓜田李下”。今天,就让我带你一起来揭秘这位吃瓜温柔男星的魅力所在吧!颜值担当,一笑倾城这位吃瓜...

  • admin 2025-10-16
    怀孕每天吃白瓜,孕期每日白瓜助力健康孕育之旅

    怀孕每天吃白瓜,孕期每日白瓜助力健康孕育之旅

    亲爱的准妈妈们,你们有没有听说过怀孕期间每天吃白瓜这个小秘密呢?今天,就让我来给你详细揭秘一下这个孕期饮食的小窍门吧!白瓜的营养价值首先,得说说白瓜这个家伙。白瓜,又称西葫芦,是一种常见的蔬菜,含有丰富的营养。它富含水分,能...

  • admin 2025-10-16
    免费吃瓜爆料聊天,免费吃瓜爆料聊天,带你走进明星幕后故事

    免费吃瓜爆料聊天,免费吃瓜爆料聊天,带你走进明星幕后故事

    你知道吗?现在网上有个超级火的聊天群,里面全是免费吃瓜爆料的好东西!是不是听起来就让人心动?那就让我带你一探究竟,看看这个神奇的聊天群到底有什么魅力,让你欲罢不能!瓜田里的“侦探”:揭秘娱乐圈一进入这个聊天群,你就能感受到一...

  • admin 2025-10-16
    吃瓜情报中心,吃瓜情报中心独家爆料

    吃瓜情报中心,吃瓜情报中心独家爆料

    亲爱的读者们,你是否也和我一样,对娱乐圈的八卦新闻充满了好奇?是不是总想第一时间掌握那些明星们的动态,却又苦于没有可靠的情报来源?别担心,今天我要给你介绍一个神奇的地方——吃瓜情报中心!在这里,你将全方位、多角度地了解娱乐圈...

  • admin 2025-10-15
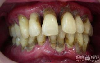
    洗牙多久可以吃瓜,洗牙后多久可享美味瓜果?健康饮食时间指南

    洗牙多久可以吃瓜,洗牙后多久可享美味瓜果?健康饮食时间指南

    洗完牙后是不是迫不及待地想大快朵颐一番呢?尤其是那香甜的瓜果,简直是夏日里的清凉小确幸。但问题来了,洗牙多久可以吃瓜呢?别急,让我带你一探究竟!洗牙后的注意事项首先,你得知道,洗牙后口腔会变得比较敏感,这时候吃瓜可是要讲究方...

  • admin 2025-10-15
    2011快乐女声吃瓜

    2011快乐女声吃瓜

    你还记得那个夏天吗?那个充满激情与梦想的夏天,2011年的快乐女声比赛可是火得一塌糊涂。那时候,你有没有也跟着一起“吃瓜”呢?今天,就让我带你一起回顾那段热血沸腾的日子,感受一下那个夏天的不凡魅力。激情燃烧的舞台2011年,...

  • admin 2025-10-14
    孕妇吃瓜好吗,孕妇适量吃瓜有益健康

    孕妇吃瓜好吗,孕妇适量吃瓜有益健康

    孕妇吃瓜好吗?炎炎夏日,西瓜成了消暑神器。那么,孕妇这个特殊群体,吃瓜真的好吗?今天,我们就来聊聊这个话题。西瓜的营养价值西瓜,这个来自热带的水果,富含多种营养成分。据《中国居民膳食指南》显示,西瓜中含有丰富的维生素C、维生...

  • admin 2025-10-13
    东乐吃瓜,揭秘娱乐圈幕后故事

    东乐吃瓜,揭秘娱乐圈幕后故事

    你知道吗?最近东乐那边的瓜可真是让人停不下来啊!咱们一起来聊聊这个话题,看看都有哪些新鲜事儿。东乐吃瓜,从街头巷尾到网络热议东乐,一个听起来就让人联想到热闹非凡的地方。这不,最近东乐的街头巷尾,还有各大社交平台,都被一股“吃...

  • admin 2025-10-12
    正月十五吃哈密瓜,正月十五哈密瓜盛宴

    正月十五吃哈密瓜,正月十五哈密瓜盛宴

    正月十五吃哈密瓜,这可是个有趣的话题呢!想象寒冷的冬夜,窗外雪花飘飘,而你手中捧着一颗甜蜜的哈密瓜,那感觉,简直不要太美好。今天,就让我带你一起探索正月十五吃哈密瓜的奥秘吧!哈密瓜的甜蜜传说哈密瓜,这个名字听起来就让人联想到...

  • admin 2025-10-11
    吃瓜群众黄瓜警花,瓜田里的正义守护者

    吃瓜群众黄瓜警花,瓜田里的正义守护者

    你知道吗?最近网上可是热闹非凡,一群吃瓜群众和一位黄瓜警花的故事,简直让人笑不活了!这可不是普通的瓜,而是一根黄瓜引发的“警花”效应。下面就让我带你一探究竟,看看这根黄瓜是如何成为网络红人的!黄瓜警花初露锋芒话说这位黄瓜警花...

1 2 3 4 5 6 7
返回顶部 暗黑模式